流鼻涕、咳嗽别总以为是感冒,或是这几种疾病
- 2022-01-01 12:00:07 腾讯健康
- 健康
咳嗽、流鼻涕、打喷嚏……对很多人来说,这些轻微的感冒症状,吃点药就会消失。但对有些人来说,这些症状可能危及他们的生命。
因为一旦出现这些症状,不少人就自己当起了大夫,按照经验用药,过敏性鼻炎、急性肾炎等常见病的早期症状,与感冒相当近似,若不细心鉴别,极有可能因当作感冒治疗而延误病情。
哪些疾病容易冒充感冒?
“假感冒”之一:过敏性鼻炎
患者会出现鼻塞、流鼻涕、打喷嚏等“类似”感冒症状,并伴有轻度发热,乏力头痛,但对抗病毒药或清热解毒的中药却有“抗性”。和感冒相比,过敏性鼻炎患者的鼻部症状更严重,流清鼻涕、鼻痒程度重,时间长,有时会持续一两个月。
过敏性鼻炎和感冒并不难区分。病因上二者就不同,感冒是由病毒引起的,过敏性鼻炎则是由花粉、真菌孢子等各种过敏原引起的。
其次,从症状上看过敏性鼻炎一般不发烧,没有全身酸痛等症状,只有打喷嚏、流鼻涕、鼻子痒等局部上呼吸道感染的表现,而且有的病人会伴随出现眼睛痒、流眼泪、胸闷憋气等症状。“只要和感冒区分开了,用抗过敏药,就能对付过敏性鼻炎了。”
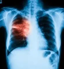
“假感冒”之二:大叶性肺炎
主要由肺炎链球菌引起,会出现高烧、咳嗽、打寒战等类似感冒症状。临床上这种病最易在青壮年身上发生,他们往往觉得自己身强体壮,把该病早期出现的咳嗽、多痰和发热等症状看成普通感冒,耽误了治疗。
大叶性肺炎的一个重要特征就是患者都会发热,并且在进行x光检查时,肺部可见明显的实质性变化。受寒、疲劳、醉酒、淋雨引起的感冒,都可能诱发大叶性肺炎,因此避免受寒及过度疲劳是很有效的预防措施。
“假感冒”之三:“月子病”
在产后出现关节酸痛、畏寒、怕风等类似感冒症状,有可能是产后受了风寒湿邪,伤及关节、筋脉、肌肉组织所致,民间也称为“月子病”。为此,北京中医医院妇科主任医师表示,产妇在产后短期内尽量别吃冷饮、用冷水,尤其关节处更要注意保暖。
“假感冒”之四:急性肾炎
发病前24周常有上呼吸道炎症和扁桃体炎症,表现为咽痛、流涕、鼻塞及低热,容易被误诊为感冒。有统计显示,大部分急性肾炎患者,尤其是儿童,在发病初期,基本都和普通感冒难以区分。
专家说,相当一部分急性肾炎都是由上呼吸道感染诱发的。但几天或1周后,就会发现食欲减退、疲乏无力、恶心呕吐、脸部和全身浮肿、尿少浑浊等现象,最好马上去医院检查尿常规。
本文地址:http://www.cnzhilian.com/jiankang/2022-01-01/564097.html
友情提示:文章内容为作者个人观点,不代表本站立场且不构成任何建议,本站拥有对此声明的最终解释权。如果读者发现稿件侵权、失实、错误等问题,可联系我们处理
- 上一篇:这个美腿神器,穿多了对身体有害
- 下一篇:类风湿关节炎怎么治?中医教你正确疗法
- 喝酒有碍健康,哥们和姐们拼酒,谁更容易受伤?2022-01-01 12:00:07
- 类风湿关节炎怎么治?中医教你正确疗法2022-01-01 12:00:07
- 流鼻涕、咳嗽别总以为是感冒,或是这几种疾病2022-01-01 12:00:07
- 这个美腿神器,穿多了对身体有害2022-01-01 12:00:07
- 长期被腰疼折磨,疼得要断了!你的腰还有救吗?2022-01-01 12:00:07
-
什么是阴痛?
2021-10-26
-
美立方国内外专家齐聚 颌面专家团再升级
2021-08-23
-
《热点聚焦》医疗机构内新冠病毒感染防控有了新要求
2021-09-15 20:00:10
-
浙大一院2021年中秋节、国庆节放假及工作安排
2021-09-12 14:00:03
-
什么是阴结?
2021-10-26 10:33:42
-
名医风采 美立方颌面国际专家团,轮廓改造天团
2021-08-23 11:48:32
-
12333异地就医备案 您关心的都在这里
2021-09-07 10:40:49
